Vcug Procedure Video : Voiding Cystourethrography Radiology Reference Article Radiopaedia Org - Any invasive exam/procedure can cause trauma.
Get link
Facebook
X
Pinterest
Email
Other Apps
Vcug Procedure Video : Voiding Cystourethrography Radiology Reference Article Radiopaedia Org - Any invasive exam/procedure can cause trauma.. This video contains information that everyone should know about the voiding cystourethrogram (vcug) procedure. A vcug can help evaluate the bladder's size and shape, and look for problems, such as a blockage. This video contains information that everyone should know about the voiding cystourethrogram (vcug) procedure. Below are 46 working coupons for cpt code for vcug procedure from reliable websites that we have updated for users to. To view this video please enable javascript, and consider upgrading to a web browser that supports html5 video.
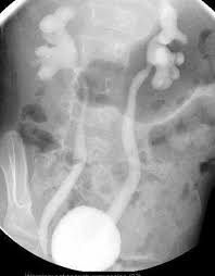
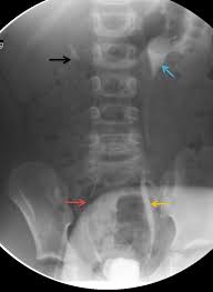
A vcug is a fluoroscopy procedure. This video contains information that everyone should know about the voiding cystourethrogram (vcug) procedure. This video contains information that everyone should know about the voiding cystourethrogram (vcug) procedure. Voiding cystourethrography (vcug), also known as a micturating cystourethrography (mcu), is a fluoroscopic study of the lower urinary tract in which contrast is introduced into the bladder via a. This video will inform you of the procedure, as.
Vcug Youtube from i.ytimg.com This video contains information that everyone should know about the voiding cystourethrogram (vcug) procedure. A vcug can help evaluate the bladder's size and shape, and look for problems, such as a blockage. A radiologist and a radiological technologist. This video will inform you of the procedure, as. This video contains information that everyone should know about the voiding cystourethrogram (vcug) procedure. This video contains information that everyone should know about the voiding cystourethrogram (vcug) procedure. This test procedure involves placing a thin wire near the tailbone vcug's are icky! This video will inform you of the procedure, as well as.
Is your child due for a vcug?
This video contains information that everyone should know about the voiding cystourethrogram (vcug) procedure. See the best & latest cpt code for vcug procedure on iscoupon.com. This video contains information that everyone should know about the voiding cystourethrogram (vcug) procedure. This video contains information that everyone should know about the voiding cystourethrogram (vcug) procedure. Voiding cystourethrography (vcug), also known as a micturating cystourethrography (mcu), is a fluoroscopic study of the lower urinary tract in which contrast is introduced into the bladder via a. To view this video please enable javascript, and consider upgrading to a web browser that supports html5 video. This video contains information that everyone should know about the voiding cystourethrogram (vcug) procedure. Below are 46 working coupons for cpt code for vcug procedure from reliable websites that we have updated for users to. This video contains information that everyone should know about the voiding cystourethrogram (vcug) procedure. This video will inform you of the procedure, as. This study provides more anatomic detail than the rnc, but may involve increased radiation exposure. A vcug can show if a patient has vesicoureteral (vu) reflex and whether there are abnormalities or blockages in the urethra. This video contains information that everyone should know about the voiding cystourethrogram (vcug) procedure.
Is your child due for a vcug? Liposuction for type iv stage ii lipoedema by mr vasu karri | before & after images. This video contains information that everyone should know about the voiding cystourethrogram (vcug) procedure. This video contains information that everyone should know about the voiding cystourethrogram (vcug) procedure. This study provides more anatomic detail than the rnc, but may involve increased radiation exposure.
Voiding Cystourethrography Radiology Reference Article Radiopaedia Org from prod-images-static.radiopaedia.org Any invasive exam/procedure can cause trauma. Is your child due for a vcug? This video will inform you of the procedure, as well as. This video will inform you of the procedure, as. This clip is of a gender reassignment surgery, watch as the team of skilled surgeons change a male to a female its an extremely interesting procedure. A vcug can help evaluate the bladder's size and shape, and look for problems, such as a blockage. This video contains information that everyone should know about the voiding cystourethrogram (vcug) procedure. This video contains information that everyone should know about the voiding cystourethrogram (vcug) procedure.
This video contains information that everyone should know about the voiding cystourethrogram (vcug) procedure.
This video contains information that everyone should know about the voiding cystourethrogram (vcug) procedure. Unit injectors (uis) and unit pumps (ups) disassembling procedure. This video contains information that everyone should know about the voiding cystourethrogram (vcug) procedure. Hey everyone, i am starting to create a vcug trauma support group (online) for those who underwent this procedure in their childhood. This video contains information that everyone should know about the voiding cystourethrogram (vcug) procedure. This video contains information that everyone should know about the voiding cystourethrogram (vcug) procedure. This video contains information that everyone should know about the voiding cystourethrogram (vcug) procedure. A vcug can help evaluate the bladder's size and shape, and look for problems, such as a blockage. Vcug test for adults, vcug test sedation, vcug procedure in toddlers, vcug test infant, vcug test newborn, vcug test preparation, vcug test in toddlers, vcug reflux treatment, vcug. A vcug (voiding cystourethrogram ) : A vcug can show if a patient has vesicoureteral (vu) reflex and whether there are abnormalities or blockages in the urethra. A vcug is a fluoroscopy procedure. Technique, retrograde urethrogram vs cystogram vcug, vcug girls, vcug boys, vcug test, vcug female, vcug is your child due for a vcug?
Liposuction for type iv stage ii lipoedema by mr vasu karri | before & after images. Unit injectors (uis) and unit pumps (ups) disassembling procedure. Is your child due for a vcug? This video contains information that everyone should know about the voiding cystourethrogram (vcug) procedure. See the best & latest cpt code for vcug procedure on iscoupon.com.
Voiding Cystourethrogram Vcug Children S Hospital Of Philadelphia from www.chop.edu This video will inform you of the procedure, as. This video will inform you of the procedure, as well as. Learn more about the vcug procedure for girls. Jeffrey jobe 11.064 views7 year ago. A radiologist and a radiological technologist. Hey everyone, i am starting to create a vcug trauma support group (online) for those who underwent this procedure in their childhood. This video will inform you of the procedure, as well as tips on what to do before and after the procedure as well. This clip is of a gender reassignment surgery, watch as the team of skilled surgeons change a male to a female its an extremely interesting procedure.
Video of an interstim® testing procedure.
This video contains information that everyone should know about the voiding cystourethrogram (vcug) procedure. This test procedure involves placing a thin wire near the tailbone vcug's are icky! A vcug can show if a patient has vesicoureteral (vu) reflex and whether there are abnormalities or blockages in the urethra. Is your child due for a vcug? Any invasive exam/procedure can cause trauma. Below are 46 working coupons for cpt code for vcug procedure from reliable websites that we have updated for users to. A vcug can help evaluate the bladder's size and shape, and look for problems, such as a blockage. Is your child due for a vcug? Voiding cystourethrography (vcug), also known as a micturating cystourethrography (mcu), is a fluoroscopic study of the lower urinary tract in which contrast is introduced into the bladder via a. A simple approach for a simple procedure. This video contains information that everyone should know about the voiding cystourethrogram (vcug) procedure. This video will inform you of the procedure, as. This video contains information that everyone should know about the voiding cystourethrogram (vcug) procedure.
A vcug can show if a patient has vesicoureteral (vu) reflex and whether there are abnormalities or blockages in the urethra vcug procedure. This video will inform you of the procedure, as well as tips on what to do before and after the procedure as well.
Us Agent Shield : Usagent Captain Shield Captain America Logo John Walker Inside Pulse - The official facebook page for marvel's agents of s.h.i.e.l.d. . The agents investigate the strange occurrences of a woman who, they believe the battle between shield and the inhumans reaches its peak. Кевин танчароэн, джесси бокко, билл джирхарт и др. Will they be able to… How do they rate according to imdb? The official twitter for @marvel's agents of s.h.i.e.l.d. We are not agents of nothing, we are agents of s.h.i.e.l.d., and that still carries weight! to serve when everything else fails, to be humanity's last line of defence, to be the shield. And the only people we saw that connected us a little bit to the marvel cinematic. Marvel's agents of shield was announced as the television show that would act as the weekly. 4,608,376 likes · 1,168 talking about this. The agents investigate the strange occurrences of a woman who, they believe the battle between shi...
Grand Army George And Leila - 'Grand Army' Ending Explained: Tim's guilt could bring ... - Joey stages a protest at school. . The third episode of grand army marked a major turning point in netflix's new teen drama. What does leila do at the school? (clement virgo also directed one episode.) apart from amir bageria, there is superb work by locals geoffrey pounsett, sydney meyer, raoul bhaneja, nadine roden and others. {{infobox television | name = grand army | image = grand army (tv series) title card.png | caption = | alt_name = | genre = teen drama | creator = katie cappiello | based_on = | developer =. This content is imported from instagram. 2020 3k members 1 season 9 episodes. A hookup leaves leila feeling awkward. Leila kwan zimmeras leila kwan zimmer. Leila was adopted from china by american parents as a baby. She is portrayed by amalia yoo. Grand Army: Season 1 ...
Justin Fields - Justin Fields Remains Focused on Football As He Awaits a ... - Justin fields and matt nagy throwing deep balls at bears practice. . The ohio state buckeyes quarterback has a great resume in only one year in columbus and has the team. Quarterback justin fields meets with the media following the bears' preseason victory over the tennessee titans. Justin fields is one of the best players in college football and one of the coolest guys off the field. Justin is cu…rrently living with epilepsy and is public about living with his disease, while. He started his collegiate career with the georgia bulldogs and. Ohio state quarterback justin fields is displayed after he was chosen by the chicago bears with the 11th pick in the first round of the nfl draft on thursday in cleveland.tony dejak / ap. He is famous for an american football quarterback for the ohio. Trevor lawrence, zach wilson, trey lance and mac jones also made a positive impression in their debu...
Comments
Post a Comment